Veneers
Veneers are a thin layer of porcelain that can be placed over unsightly teeth as a less invasive way to mask problems such as discolouration. They are like a false finger nail in size and shape, and our laboratory offers a shade-matching service for that perfect fit.
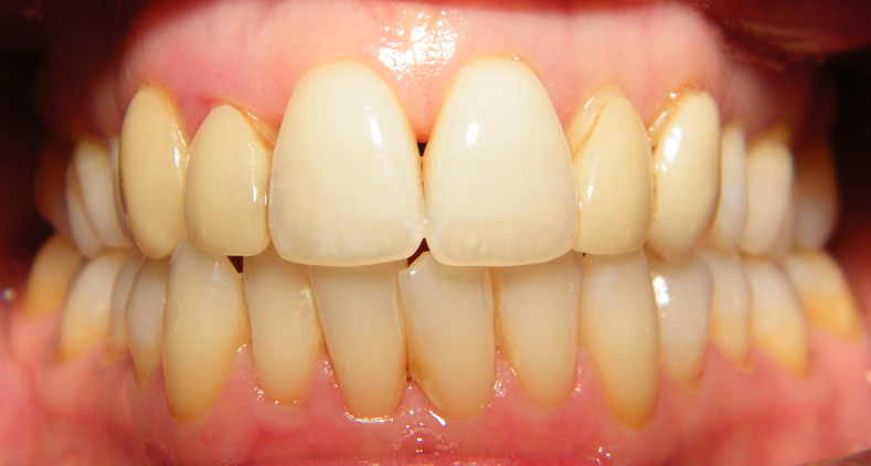
This veneer case was difficult because the patient needed her four old veneers replaced as they had become unsatisfactory after 15 years. The new veneers had to closely match the colour of her two natural front teeth, and we think we got this result pretty much bang on!
Before treatment
After treatment

