Orthodontics
Ian provides all the orthodontic service in both practices, and also accepts referrals from other dentists in both locales.
Whether an NHS case or a Private patient, the treatment philosophy remains the same - it is our belief that extractions are rarely indicated and indeed frequently give rise to poorer results. By catching problems early it is frequently possible to prevent a minor problem developing into a major one. Gentle Guidance of the young child's facial growth can help give much better aesthetics as well as functional results as well as a host of other health benefits.
One of the most respected orthodontic organisations in the world - the American Orthodontic Association- has said that ideally all children should have their first orthodontic assessment between the ages of 7-9.
NHS treatment is dependent on prior approval from the health board, and definitive guidelines mean that not everyone may be entitled to have treatment on the NHS. These guidelines are strictly enforced by the health board and as such we must work within that system. It is always our aim to help our patients, but in some cases we may not be able to gain approval for treatment.
Our NHS orthodontic adjustment appointments are normally given between the hours of 9am-12.30pm. We encourage parents to be present when the treatment starts so that we can discuss all aspects of their child's treatment and answer any queries they may have. We also welcome parents coming in with their children so that everyone works together for the benefit of the patient.
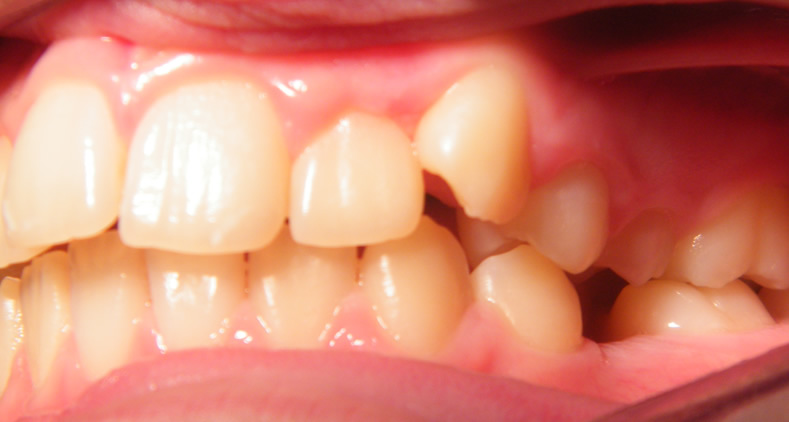
Before treatment

After treatment



